Наши пациенты
Что было сделано
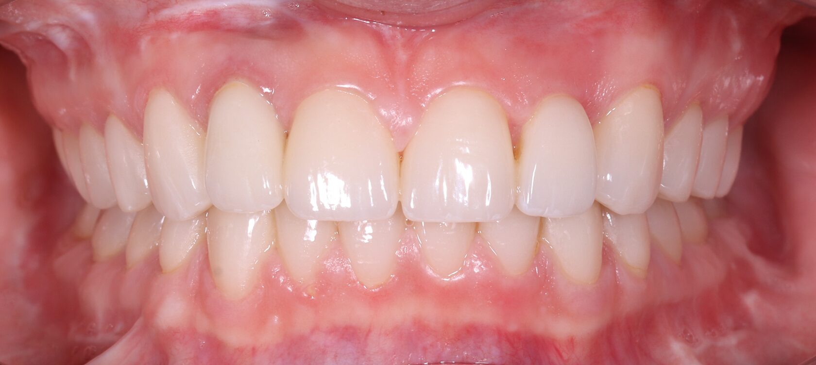
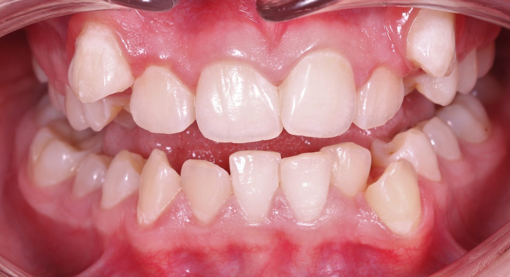
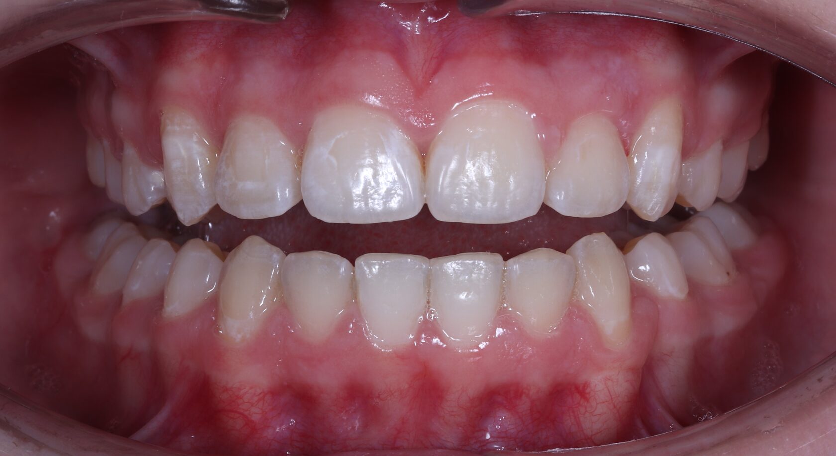
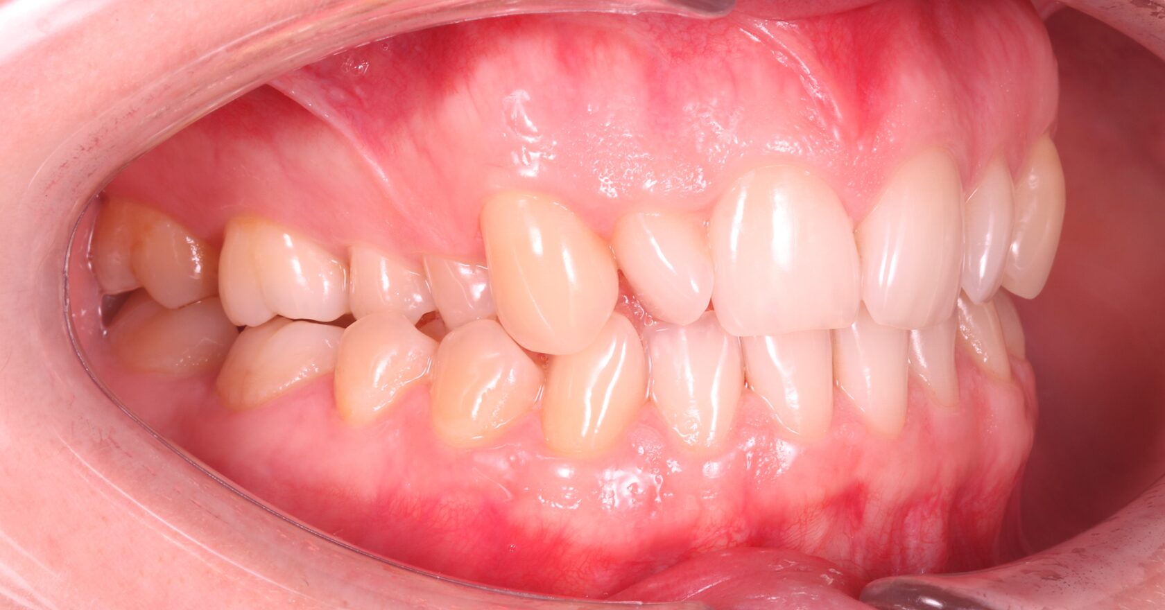
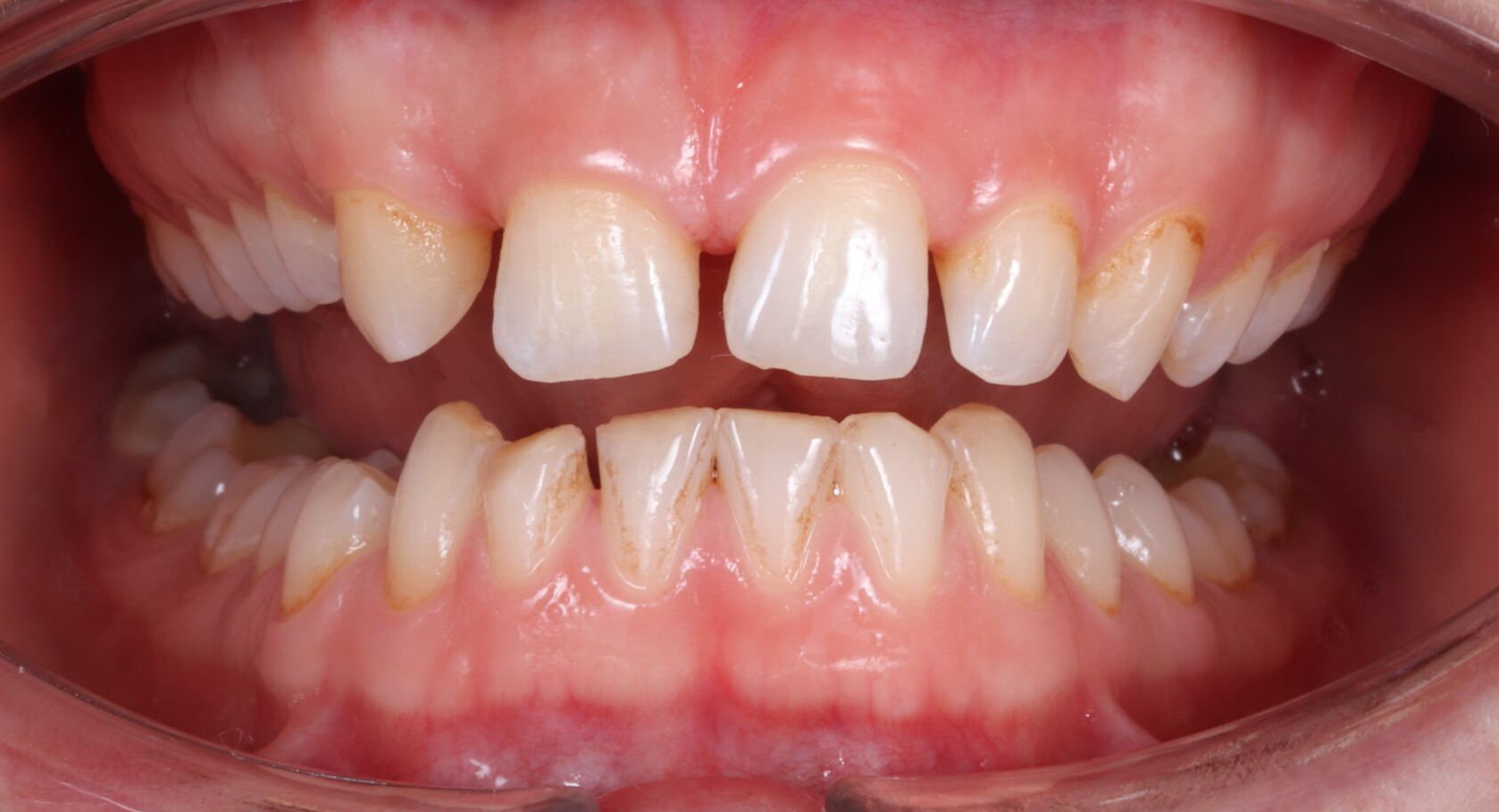
Исходные данные: перекрестное смыкание справа, наклон окклюзионных плоскостей, асимметрия
центров зубных рядов, скученность зубов.
Решение: выполнено ортодонтическое лечение с помощью брекет-системы и минивинтов для
исправления асимметрии. Лечение длилось 2 года и 4 месяца.
Что было сделано
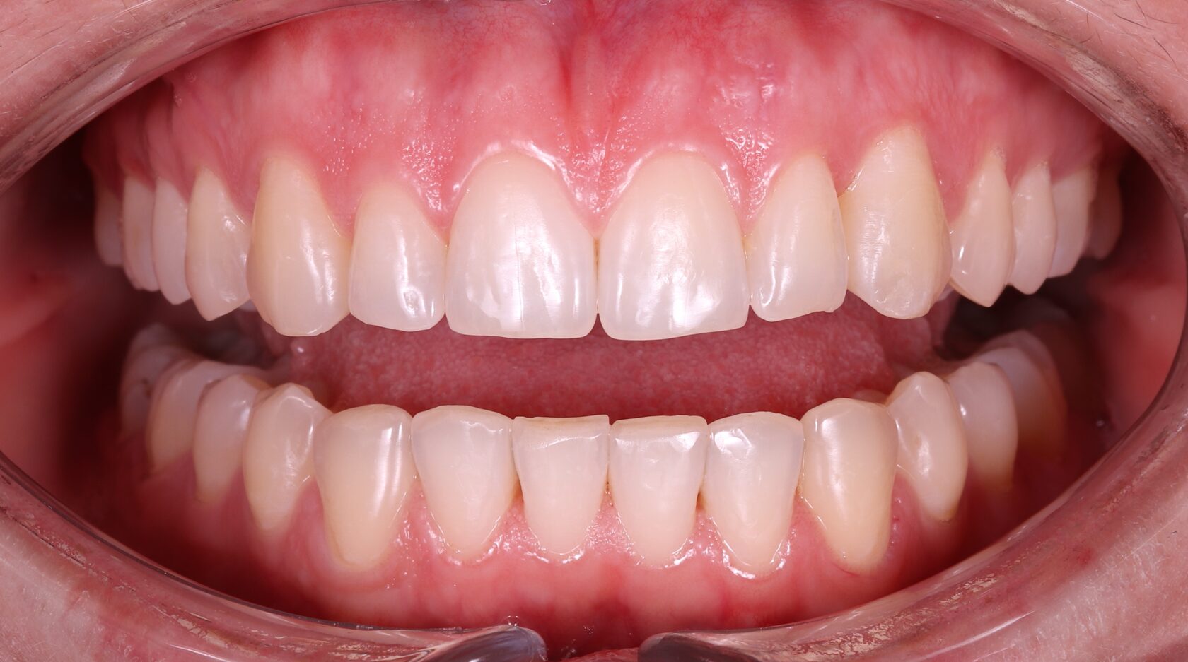
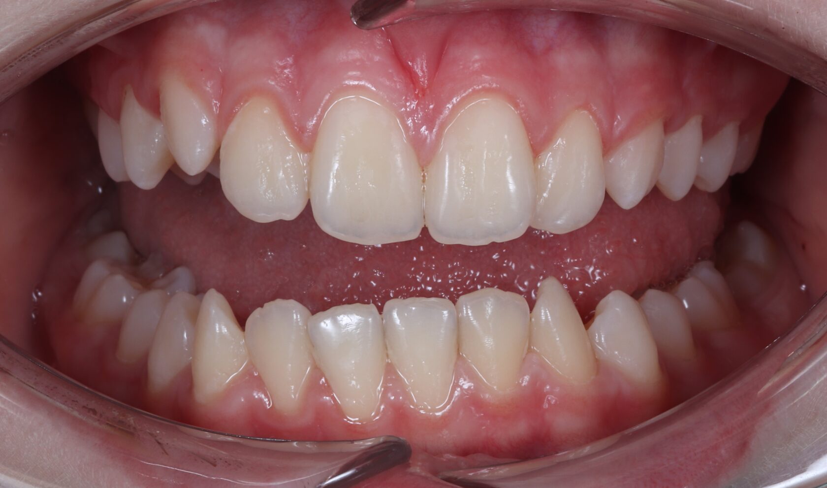
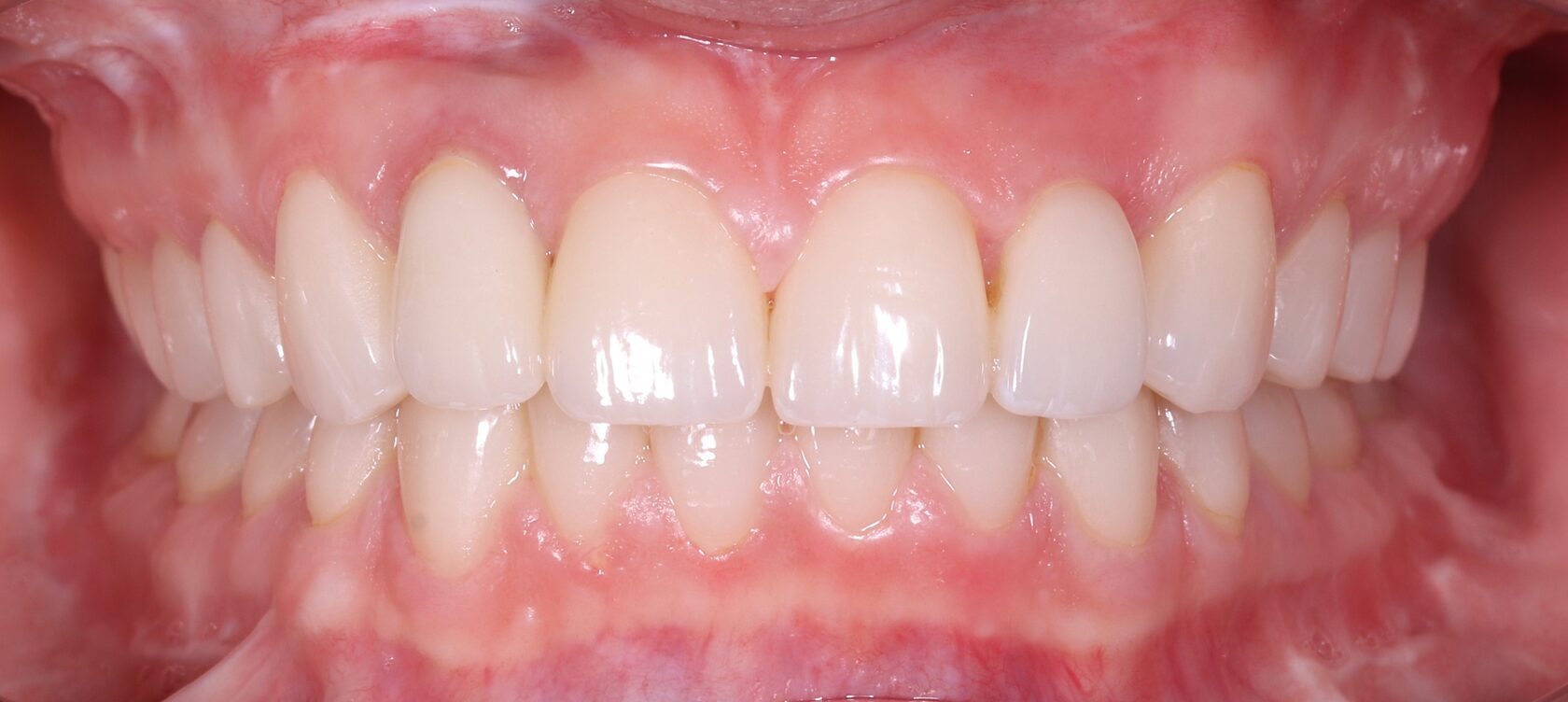
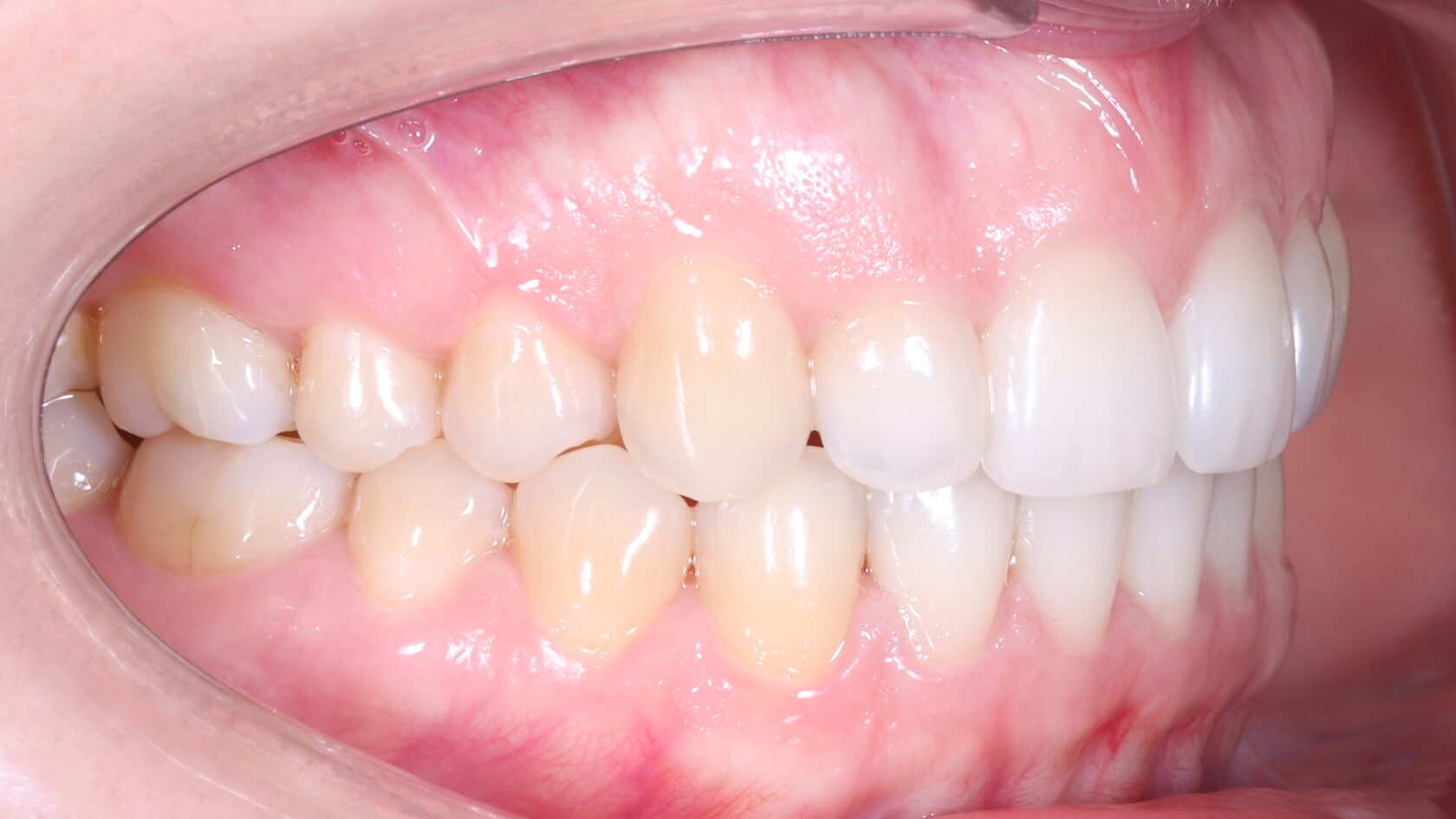
Исходные данные: скелетное несоответствие верхней и нижней челюстей, множественные
промежутки, отсутствие верхнего правого бокового резца, стираемость зубов.
Решение: проведено комплексное лечение, включающее ношение брекет-системы, челюстно-лицевую операцию и
тотальное протезирование всех зубов (с
имплантацией бокового резца вверху справа) . Ортодонтическое лечение длилось 2 года и 8
месяцев. Установлены ретейнеры и назначены ночные ретенционные каппы.
Что было сделано
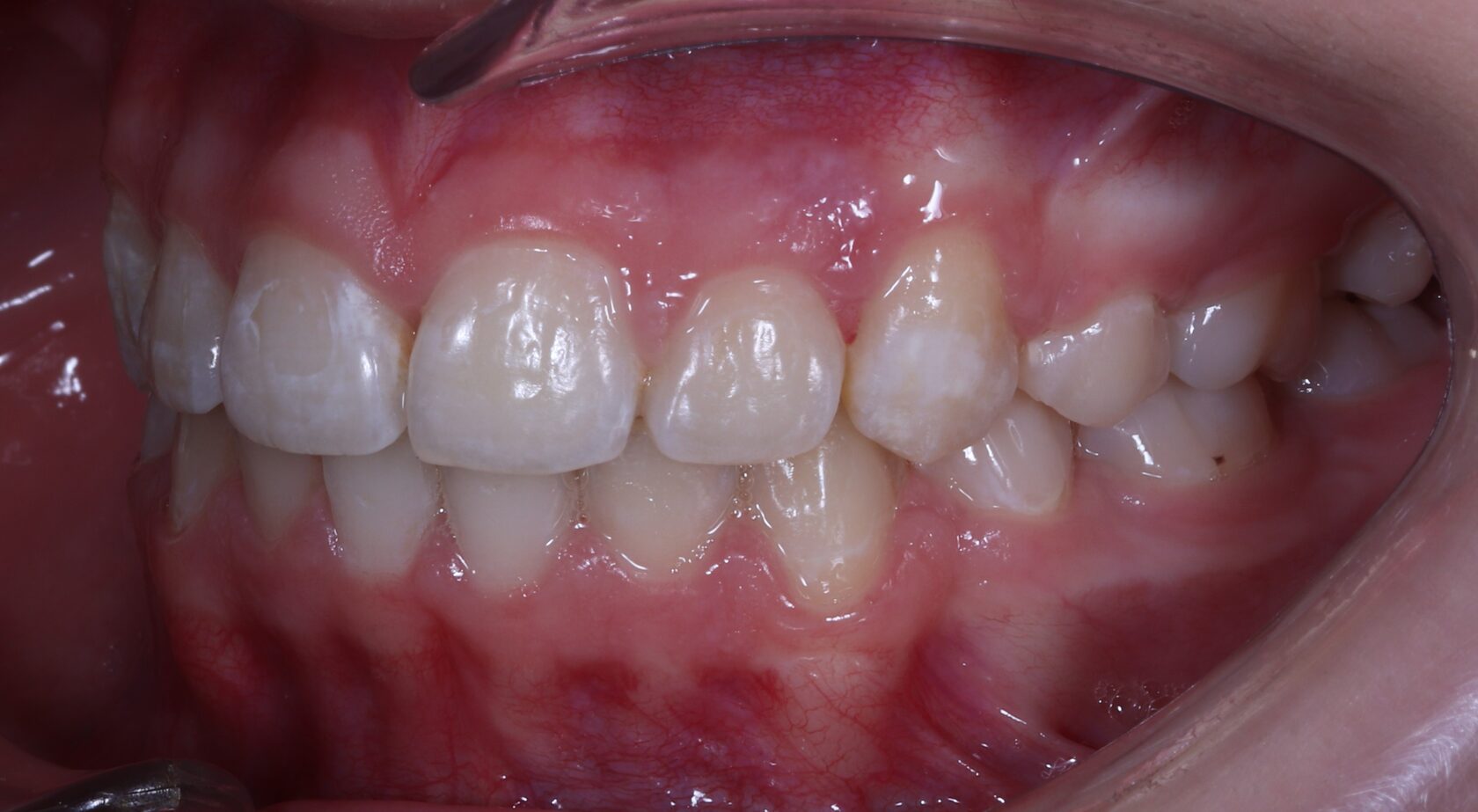
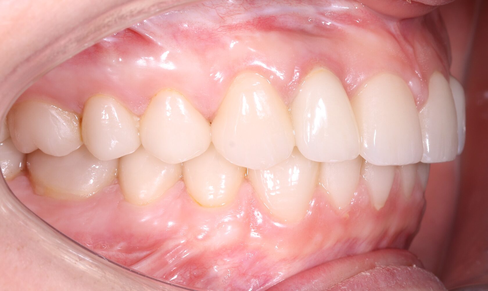
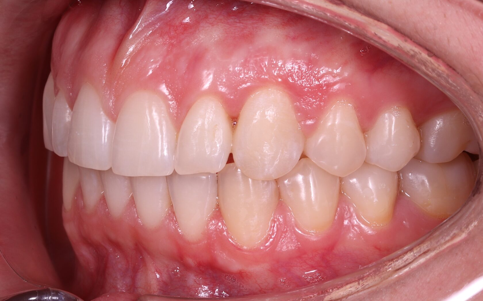
Исходные данные: дефицит места для левого нижнего и верхних клыков, резцовая скученность
Решение: проведено двучелюстное лечение с помощью брекет-системы. Для получения места и
сохранения здоровых тканей вокруг зубов удалялись три премоляра. Удаление проводилось на
этапе фиксации брекетов. Установлены несъемные ретейнеры. Лечение длилось 1 год и 10
месяцев.
Что было сделано
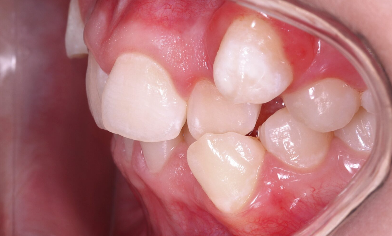
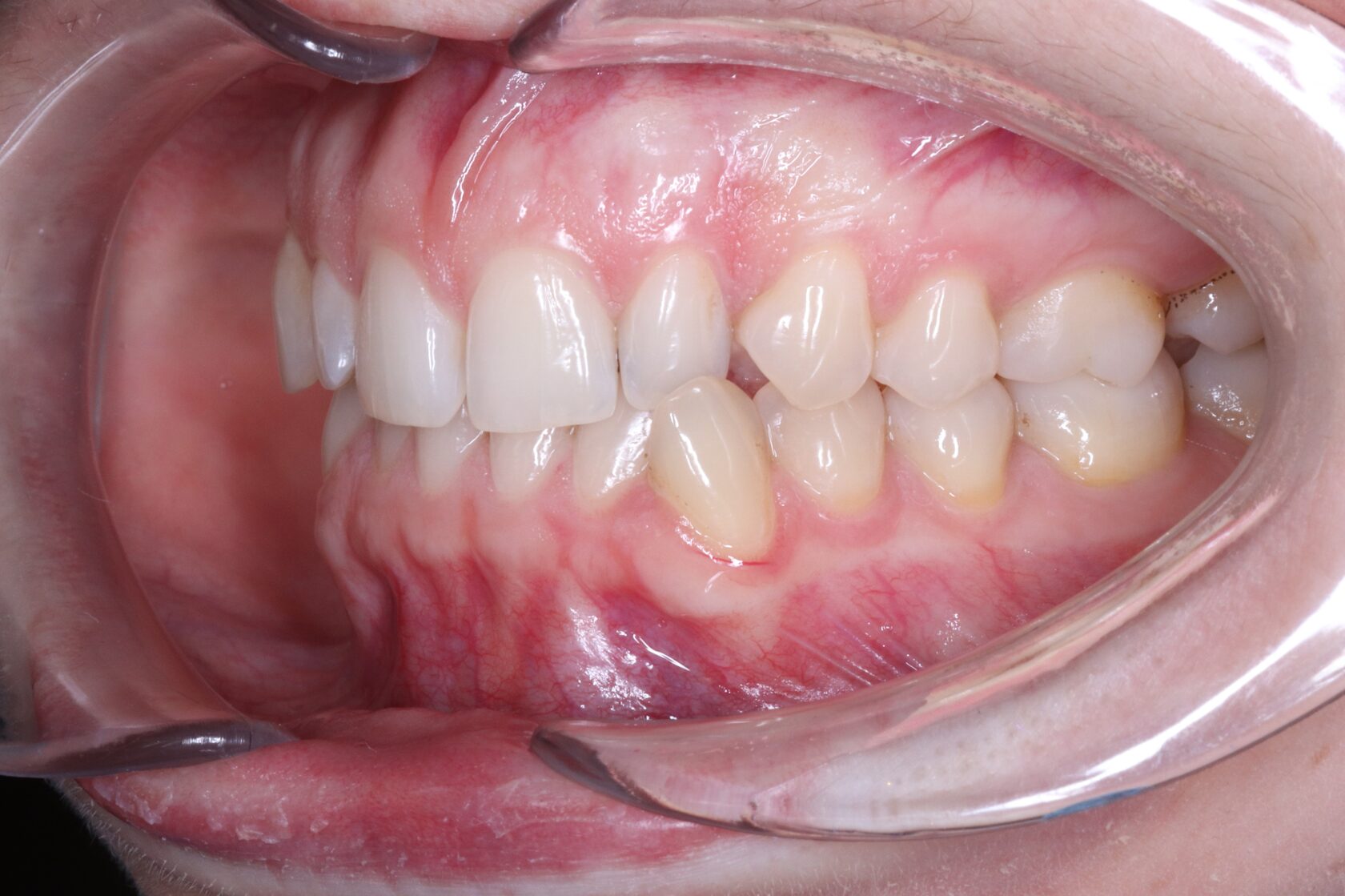
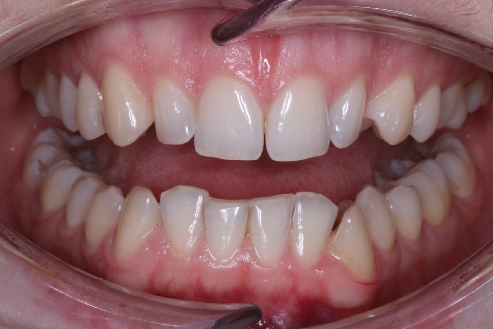
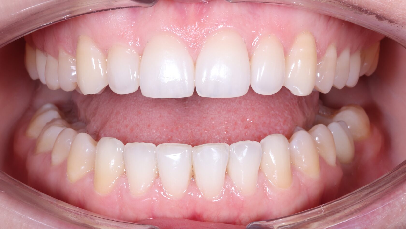
Исходные данные: скученность зубов, ретенция левого верхнего клыка (лежит в нёбе), смещение
центра верхнего зубного ряда
Решение: двучелюстное лечение с помощью брекет-системы. Применялись минивинты для
перемещения верхних боковых сегментов. Лечение длилось 2 года и 10 месяцев. Установлены
ретейнеры для стабильности передних зубов.
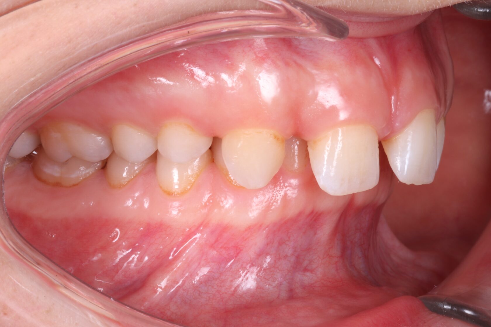
Исходные данные: скученность передних зубов, перекрестное соотношение боковых
зубов справа, отсутствующий нижний левый 6 зуб
Решение: ортодонтическое лечение с помощью брекет-системы с установкой импланта в область
отсутствующего зуба , а также расширением узкого бокового верхнего резца с помощью
реставрации. Имплантация проведена за 5 месяцев до финиша, чтобы выполнить
протезирование сразу после снятия брекет-системы
Что было сделано
Уведомление об использовании cookies
На сайте используются Cookies для улучшения работы сайта
Уведомление об использовании cookies
Настройки Cookie
Файлы cookie, необходимые для корректной работы сайта, всегда включены.Другие файлы cookie можно настроить.
Основные файлы cookie
Всегда включены. Эти файлы cookie необходимы для того, чтобы вы могли пользоваться веб-сайтом и его функциями. Их нельзя отключить. Они устанавливаются в ответ на ваши запросы, такие как настройка параметров конфиденциальности, вход в систему или заполнение форм.
Аналитические файлы cookie
Disabled
Эти файлы cookie собирают информацию, чтобы помочь нам понять, как используются наши веб-сайты или насколько эффективны наши маркетинговые кампании, или чтобы помочь нам настроить наши веб-сайты под вас. Смотрите список используемых нами аналитических файлов cookie здесь.
Рекламные файлы cookie
Disabled
Эти файлы cookie предоставляют рекламным компаниям информацию о вашей онлайн-активности, чтобы помочь им предоставлять вам более релевантную онлайн-рекламу или ограничить количество просмотров рекламы. Эта информация может быть передана другим рекламным компаниям. Смотрите список рекламных файлов cookie, которые мы используем здесь.